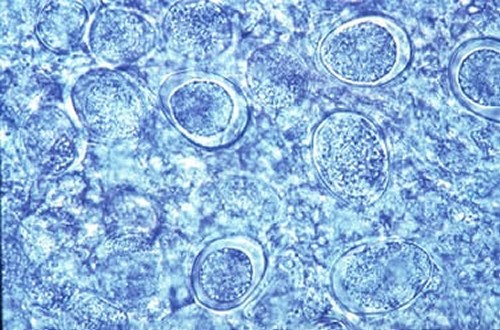
Species

Eimeria brunetti strain Houghton

[ Alveolata | Apicomplexa | Conoidasida | . . .
. . . | Eimeriorina | Eimeriidae | Eimeria ]

Eimeria_brunetti_strain_Houghton Courtesy of Jean Sander
Taxonomy:Eukaryota | Alveolata | Apicomplexa | Conoidasida | Coccidia | Eucoccidiorida | Eimeriorina | Eimeriidae | Eimeria
Ncbi Go to NCBI Taxonomy (51314)
Eol Encyclopedia of life
Wiki Wikipedia

Genome files


National Center for Biotechnology Information National Center for Biotechnology Information
Type Version Date Compl Cov GC % Size (Mbp) Contigs CGR Illegal Chars N50 (kbp) Acc File Seq info
Contigs v 1.0.0 2013-10-28 Dna_compl - 47.9 65.0 24647Info - 6 Down Chromosome Comment
Supercontigs v 1.0.0 2013-10-28 Dna_compl - 47.9 65.0 8575Info - 33 Down Chromosome Comment

The Wellcome Trust Sanger Institute The Wellcome Trust Sanger Institute
Type Version Date Compl Cov GC % Size (Mbp) Contigs CGR Illegal Chars N50 (kbp) Acc File Seq info
Go National Center for Biotechnology Information Supercontigs v 1.0.0

diArk 3.0 Content Info

Species:6488
References:170
Projects:9057
gen DNA Projects:5222
EST/cDNA Projects:851
Publications:2417
link to cymobase
link to scipio
link to www.motorprotein.de
MPI for biophysical chemistry

Facebook_grey
Twitter_grey
Googleplus_grey
2 Clicks for more privacy: You have to click the top icon to enable the Facebook Like, the Twitter, or the Google+ button.